شکستگی مچ پا یکی از ممکن است به دلایل مختلف برای هر کسی رخ بدهد، در ادامه سعی داریم به بررسی دلایل و درمان و مدت زمان درمان شکستگی مچ پا بپردازیم.
آناتومی مچ پای انسان
سه استخوان مچ پا را تشکیل میدهند:
- تیبیا: ساق پا
- فیبولا: استخوان کوچکتر ساق پا
- تالوس: استخوان کوچکی که بین استخوان پاشنه (کالکانئوس) و درشت نی و نازک نی قرار دارد.
استخوان درشت نی و نازک نی دارای قسمت های خاصی هستند که مچ پا را تشکیل میدهند:
- مالئول داخلی: استخوان برجسته کوچک در سمت داخلی مچ پا در انتهای استخوان درشت نی
- مالئول خلفی: قسمت پشتی استخوان درشت نی
- مالئول جانبی: استخوان برجسته در سمت خارجی مچ پا در انتهای نازک نی
مفصل مچ پا به شما این امکان را میدهد که پای خود را به بالا و پایین خم کنید و آن را از یک طرف به سمت دیگر حرکت دهید. مفصل syndesmosis نیز ثبات را فراهم میکند.
پزشکان شکستگیهای مچ پا را بر اساس ناحیه استخوانی که شکسته است طبقه بندی میکنند؛ مثلاً شکستگی انتهای نازک نی را شکستگی مالئول جانبی مینامند.
اگر هر دو استخوان درشت نی و نازک نی شکسته باشند نیز به آن شکستگی دومالئولار میگویند.
دو مفصل در شکستگی مچ پا درگیر هستند:
- مفصل مچ پا: جایی که استخوان درشت نی، نازک نی و تالوس به هم میرسند.
- مفصل Syndesmosis : مفصل بین استخوان درشت نی و نازک نی که توسط رباط ها در کنار هم نگه داشته میشود.
شکستگی یا شکستگی مچ پا آسیبی به استخوان است. به عنوان مثال، ممکن است در اثر آسیب پیچشی ناشی از یک اشتباه ساده یا افتادن، شکستگی مچ پا را تجربه کنید.
شکستگی مچ پا میتواند شامل موارد زیر باشد:
- یک شکستگی ساده در یک استخوان، که ممکن است مانع از راه رفتن شما نشود.
- چندین شکستگی که ممکن است نیاز به جراحی داشته باشد. این نوع شکستگیها میتوانند بسیار ناتوان کننده باشند. در برخی موارد، ممکن است تا چند ماه نتوانید روی مچ پای خود وزن بیاندازید، که بر توانایی شما در راه رفتن، رانندگی، ورزش و کار تأثیر می گذارد.
اگرچه شکستگی مچ پا می تواند در افراد در هر سنی رخ دهد، اما معمولاً در بزرگسالان بیشتر اتفاق میافتد. در واقع، این شکستگی چهارمین نوع شکستگی شایع در بزرگسالان هستند. شدت شکستگی مچ پا نیز متفاوت است. شکستگیها میتوانند از ترکهای ریز در استخوانها تا شکستگیهایی که پوست شما را سوراخ میکنند، متغیر باشند.
درمان شکستگی مچ پا به محل دقیق و شدت شکستگی استخوان بستگی دارد. شکستگی شدید مچ پا ممکن است نیاز به جراحی برای کاشت صفحات، میلهها یا پیچها در استخوان شکسته داشته باشد تا موقعیت مناسب در طول بهبودی حفظ شود.
علائم شکستگی مچ پا
در صورت شکستگی مچ پا، ممکن است برخی از علائم و نشانههای زیر را تجربه کنید:
-
- درد فوری و ضربان دار؛
- تورم؛
- کبودی؛
- بدشکلی؛
- مشکل یا درد در راه رفتن یا تحمل وزن.
دلایل شکستگی مچ پا چیست؟
شکستگی مچ پا معمولاً در نتیجه یک آسیب پیچ خوردگی است، اما میتواند در اثر ضربه مستقیم به مچ پا نیز ایجاد شود .
اگر:
- در ورزش های پرتحرک شرکت کنید. استرسها، ضربههای مستقیم و آسیبهای پیچشی که در ورزشهایی مانند بسکتبال، فوتبال، ژیمناستیک، تنیس و فوتبال رخ میدهد میتواند باعث شکستگی مچ پا شود.
- از تکنیک یا وسایل ورزشی نامناسب استفاده کنید. کفش نامناسب میتوانند منجر به شکستگیهای خفیف و شدید شود. تکنیک های تمرینی نامناسب، مانند گرم نکردن بدن و کشش نیز می واند باعث آسیب مچ پا شود.
- به طور ناگهانی سطح فعالیت خود را افزایش دهید. چه یک ورزشکار آموزش دیده باشید و چه فردی که به تازگی ورزش را شروع کرده است، افزایش ناگهانی دفعات یا مدت جلسات ورزشی شما میتواند خطر شکستگی استرس را افزایش دهد.
- در خانه به هم ریخته یا کم نور راه بروید. قدم زدن در خانهای با درهمریختی زیاد یا نور کم ممکن است منجر به زمین خوردن و آسیب مچ پا شود.
- شرایط خاصی داشته باشد. کاهش تراکم استخوان یا همان پوکی استخوان میتواند شما را در معرض خطر آسیب و شکستگی استخوانهای مچ پا قرار دهد.
- سیگار میکشید. سیگار کشیدن میتواند خطر ابتلا به پوکی استخوان را افزایش دهد. مطالعات همچنین نشان میدهد که بهبودی پس از شکستگی ممکن است در افرادی که سیگار می کشند بیشتر طول بکشد.
عوارض
عوارض شکستگی مچ پا غیر معمول است اما ممکن است شامل موارد زیر باشد:
- آرتروز: شکستگیهایی که به داخل مفصل کشیده میشوند میتوانند سالها بعد باعث آرتروز شوند. اگر مدت طولانی بعد از استراحت مچ پا شروع به درد کرد، برای ارزیابی به پزشک مراجعه کنید.
- عفونت استخوان (استئومیلیت): اگر شکستگی باز دارید، به این معنی که یک انتهای استخوان از پوست بیرون زده است، ممکن است استخوان شما در معرض باکتریهایی قرار گیرد و باعث عفونت شوند.
- سندرم کمپارتمان: این وضعیت به ندرت ممکن است با شکستگی مچ پا رخ دهد. باعث درد، تورم و گاهی ناتوانی در عضلات آسیب دیده پاها میشود.
- آسیب عصبی یا عروق خونی: ضربه به مچ پا میتواند به اعصاب و رگهای خونی آسیب برساند و گاهی اوقات آنها را پاره کند. در صورت مشاهده هرگونه بیحسی یا مشکلات گردش خون، فوراً به دنبال توجه باشید. کمبود جریان خون میتواند باعث مرگ و فروپاشی استخوان شود.
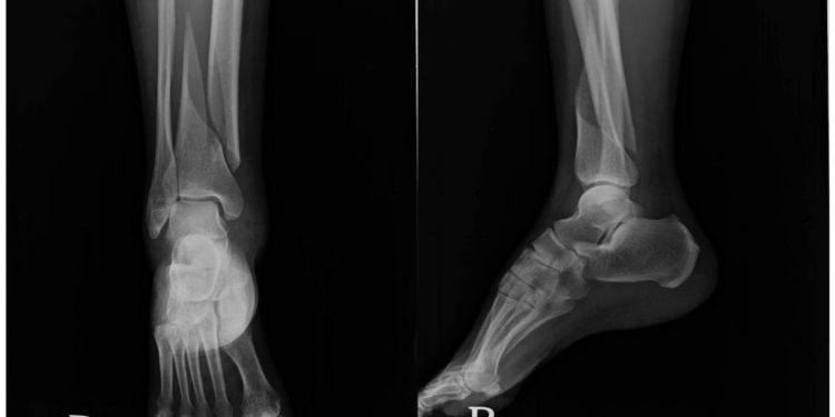
تشخیص شکستگی مچ پا
پس از آسیب دیدگی مچ پا، مهم است که مچ پا توسط جراح پا دیده شود. برای تشخیص و درمان مناسب باید یک دکتر شکستگی مچ پا باتجربه پا را بررسی کند. اگر نمیتوانید فوراً این کار را انجام دهید، به اورژانس بروید و در اسرع وقت با جراح و متخصص مناسب ملاقات داشته باشید.
دریافت نوبت از دکتر شکستگی مچ پا:
https://doctoreto.com/doctors/service/ankle-fracture
اندام آسیب دیده توسط جراح پا یا دکتر شکستگی مچ پا معاینه شده و برای ارزیابی آسیب، نواحی خاصی لمس مشود. علاوهبراین، در صورت لزوم، جراح ممکن است عکسبرداری با اشعه ایکس و سایر تصویربرداریهای تشخیصی را تجویز کند.
روشهای جلوگیری از شکستگی مچ پا
این نکات اولیه ورزشی و ایمنی ممکن است به جلوگیری از شکستگی مچ پا کمک کند:
- کفش مناسب بپوشید. از کفش های پیاده روی در زمینهای ناهموار استفاده کنید و کفش ورزشی مناسب برای ورزش خود انتخاب کنید.
- کفشهای ورزشی را به طور مرتب تعویض کنید. به محض اینکه آج یا پاشنه کفش فرسوده شد یا کفشها به طور ناموزون پوشیده شدند، کفشهای کتانی را دور بیندازید. اگر دونده هستید، هر 300 تا 400 مایل کفشهای ورزشی خود را تعویض کنید.
- به آرامی ورزش را شروع کنید. این برای یک برنامه تناسب اندام جدید و هر تمرین فردی اعمال میشود.
- فعالیت متناوب داشته باشید. فعالیتهای متناوب میتواند از شکستگیهای استرسی جلوگیری کند. دویدن، با شنا یا دوچرخه سواری را امتحان کنید.
- برای افزایش استحکام استخوان راهی بیابید. کلسیم و ویتامین D کافی دریافت کنید و غذاهای غنی از کلسیم شامل شیر، ماست و پنیر مصرف کنید. از پزشک خود بپرسید که آیا نیاز به مصرف مکملهای ویتامین D دارید یا خیر.
- خانه خود را خلوت نگه دارید. قرار ندادن وسایل روی زمین میتواند به شما در جلوگیری از زمین خوردن و سقوط کمک کند.
- عضلات مچ پای خود را تقویت کنید. اگر مستعد پیچ خوردن مچ پا هستید، از پزشک خود بخواهید تمریناتی را به شما آموزش دهد که به تقویت عضلات حمایت کننده مچ پا کمک میکنند.
برای درمان شکستگی مچ پا به چه دکتری باید مراجعه کنیم؟
برای درمان شکسگی مچ پا باید خیلی سریع به دکتر شکستگی مچ پا که همان متخصص ارتوپد است مراجعه کنید.
چه زمانی باید به پزشک مراجعه کرد؟
اگر بدشکلی آشکار وجود دارد، اگر درد و تورم وجود دارد یا اگر درد و تورم با گذشت زمان بدتر شد، به پزشک مراجعه کنید. همچنین اگر جراحت باعث اختلال در راه رفتن شما شده حتما به پزشک خود مراجعه کنید.
دریافت نوبت از دکتر شکستگی مچ پا تهران:
https://doctoreto.com/doctors/service/ankle-fracture/city/tehran
کارهایی که پیش از مراجعه به پزشک میتوان انجام داد
اگر فکر میکنید مچ پای شما شکسته و امکان مراجعه فوری به دکتر برای شما وجود ندارد کارهای زیر را انجام دهید:
- در صورت امکان مچ پای خود را بالا ببرید.
- هر 2 تا 3 ساعت، یک کیسه یخ (یا یک کیسه نخود فرنگی یخ زده) را که در یک حوله پیچیده شده است به آرامی روی مچ پای خود به مدت 15 تا 20 دقیقه نگه دارید.
- با استفاده از یک پارچه تمیز یا پانسمان روی زخم فشار وارد کرده و هرگونه خونریزی را متوقف کنید.
- مچ پای خود را خیلی آرام و شل در یک باند بپیچید. (اگر مچ پای شما زاویه نامتعارفی ندارد.)
- هر گونه جواهرات روی مچ پا یا انگشتان پا را بردارید.
- از مسکنهایی مانند پاراستامول یا ژل ایبوپروفن (یا در صورت نیاز قرص ایبوپروفن) استفاده کنید.
- در صورت نیاز به جراحی چیزی نخورید یا ننوشید.
- در صورت امکان حرکت نکنید، ثابت بنشینید و روی مچ پای خود وزن اضافی وارد نکنید.
درمان های شکستگی مچ پا
معمولاً برای بررسی اینکه آیا مچ پای شما شکسته است یا خیر، عکس برداری با اشعه ایکس انجام میشود تا شدت شکستگی مشخص گردد. در صورت تشخیص شکستگی و برای استراحت دادن و تثبیت پا ممکن است که یک آتل مخصوص برای ثابت نگه داشتن مچ پا تجویز شود. همچنین ممکن است دکتر شکستگی مچ پا گچ را برای ثابت کردن پا تا زمان بهبودی تجویز کند. در برخی موارد نیز جراحی برای رفع شکستگی استخوان انجام خواهد شدو
بهبودی از شکستگی مچ پا
بهبودی پس از شکستگی مچ پا معمولاً 6 تا 8 هفته طول میکشد، اما ممکن است این زمان بیشتر هم بشود.
دکتر به شما خواهد گفت:
- چه مدت باید آتل یا گچ را داشته باشید.
- چقدر وزن را روی مچ پای خود قرار دهید. (ممکن است به شما عصا یا واکر داده شود تا به کاهش وزن کمک کند.)
- پس از بهبودی، از مچ پای خود به طور معمول استفاده کنید. حرکت دادن آن از سفت شدن آن جلوگیری می کند.
- شاید لازم باشد به فیزیوتراپیست مراجعه کنید. آنها میتوانند با دادن برخی تمرینات، به شما کمک کنند تا دوباره پا و مچ پا را به آرامی حرکت دهید.
چه زمانی جراحی لازم است؟
برای برخی از شکستگیهای مچ پا، جراحی برای ترمیم شکستگی و سایر آسیبهای مربوط به بافت نرم، در صورت وجود، مورد نیاز است. جراح شما مناسبترین روش را برای شما در نظر خواهد گرفت.
درمان شکستگی مچ پا چقد طول میکشد؟
اکثر افراد در عرض 3 تا 4 ماه پس از وقوع آسیب به فعالیت های عادی باز میگردند.
اگر مچ پای راست شما آسیب دیده است، احتمالاً می توانید در هفته 9 تا 12 رانندگی را از سر بگیرید. ممکن است پس از چندین ماه همچنان لنگید و بازگشت به ورزش بیشتر طول بکشد.
بهبودی کامل برخی از شکستگیهای مچ پا ممکن است چیزی حدود ۲ سال هم طول بکشد.












